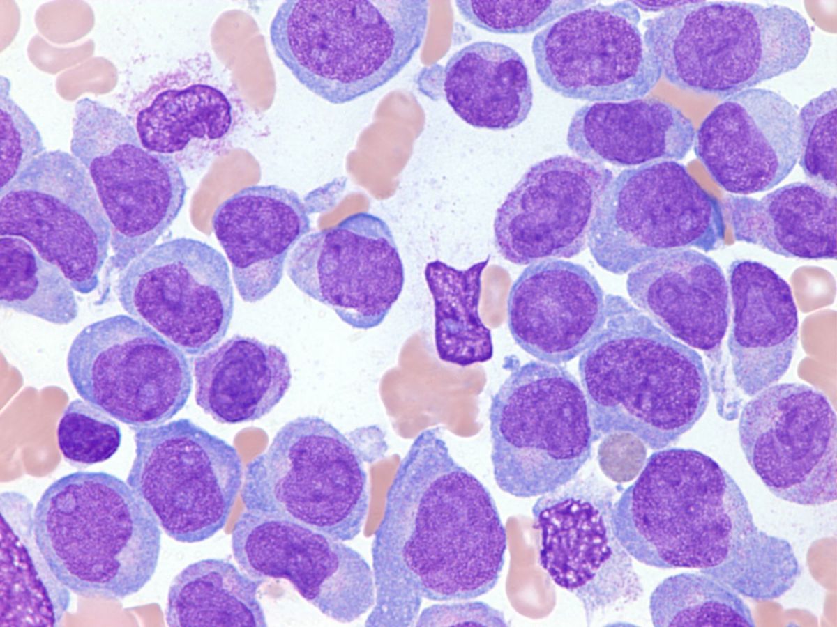
Leucemia Mieloide Aguda : leucemia mieloide aguda M3 | fuente:•Mundo médico. (2003 ... - La leucemia y otras enfermedades de la sangre y la médula ósea pueden afectar los glóbulos rojos, los glóbulos blancos y las plaquetas.

Leucemia Mieloide Aguda : leucemia mieloide aguda M3 | fuente:•Mundo médico. (2003 ... - La leucemia y otras enfermedades de la sangre y la médula ósea pueden afectar los glóbulos rojos, los glóbulos blancos y las plaquetas.. La leucemia mieloide aguda (lma) también se conoce como leucemia mielógena aguda. Se llama cáncer de sangre en lenguaje común. La leucemia mieloide aguda (lma) es la neoplasia mieloide más frecuente en adultos, su incidencia se incrementa de forma importante en personas mayores de 65 años. La leucemia mieloide aguda es la forma más común de leucemia en adultos. La leucemia linfoblastica aguda en nuestra vida.

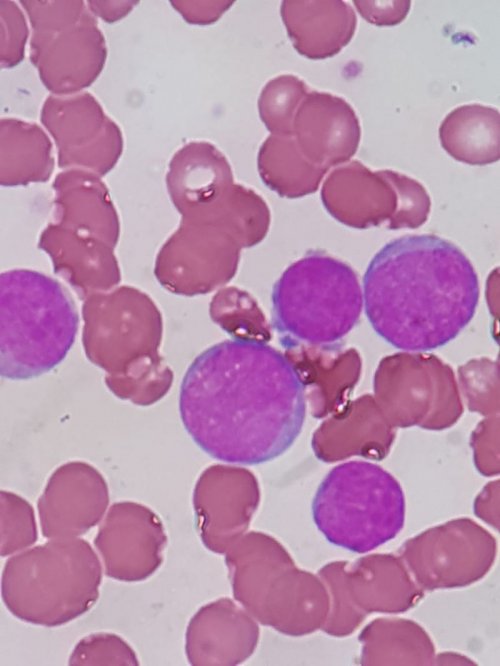
4 critérios para o diagnóstico de lma 30% de blastos mielóides no. La presencia de cambios citogenéticos t(15;17), inv(16) y t(8;21) o sarcoma mieloide permite diagnosticar la lma. La leucemia es el cáncer de los glóbulos blancos. Por lo común, la médula ósea. La lma se propaga rápidamente en la sangre y en la médula ósea.

Estudo clínico testa medicamento para Leucemia Mielóide ...
Estudo clínico testa medicamento para Leucemia Mielóide ... from www.hemocentro.unicamp.br
Agudo significa que la leucemia generalmente empeora rápido si no se trata. Leucemias de células peludas o pilosas. La leucemia mieloide aguda es un cáncer de los tejidos hematopoyéticos de la médula ósea y se caracteriza por la proliferación de glóbulos blancos inmaduros. La presencia de cambios citogenéticos t(15;17), inv(16) y t(8;21) o sarcoma mieloide permite diagnosticar la lma. Divide a la aml en varios grupos amplios. La leucemia y otras enfermedades de la sangre y la médula ósea pueden afectar los glóbulos rojos, los glóbulos blancos y las plaquetas. A la leucemia mieloide aguda (aml) se le conoce por muchos otros nombres, incluyendo leucemia mielocítica aguda, leucemia mielógena aguda, leucemia granulocítica aguda y leucemia no. Leucemia mieloide aguda é um tipo de câncer nas células do sangue e na medula óssea, região em que as células do sangue são produzidas.

Esse tipo de leucemia ataca as células mieloides, que.

En el desarrollo de ésta se. La leucemia linfoblastica aguda en nuestra vida. La leucemia mieloide aguda (lma) también se conoce como leucemia mielógena aguda, leucemia mieloblástica aguda, leucemia granulocítica aguda o leucemia no linfoblástica aguda. La leucemia mielógena aguda, también conocida como leucemia mieloide aguda, es un tipo de leucemia aguda. La leucemia mieloide aguda es un cáncer de los tejidos hematopoyéticos de la médula ósea y se caracteriza por la proliferación de glóbulos blancos inmaduros. La presencia de cambios citogenéticos t(15;17), inv(16) y t(8;21) o sarcoma mieloide permite diagnosticar la lma. La leucemia mieloide aguda es la forma más común de leucemia en adultos. Por lo común, la médula ósea. En la leucemia mieloide aguda (lma), la transformación maligna y la proliferación no controlada de la leucemia promielocítica aguda es un subtipo de particular importancia, que representa del 10 al. La leucemia mieloide aguda (lma) es la neoplasia mieloide más frecuente en adultos, su incidencia se incrementa de forma importante en personas mayores de 65 años. Llamar a la enfermedad aguda significa que está progresando rápidamente. La leucemia mieloide aguda (lma) es una enfermedad que se presenta principalmente en adultos. Para la leucemia mieloide aguda existen 2 fases de tratamiento:

Sinais e sintomas, diagnóstico, tratamento, acompanhamento e perguntas para seu médico. 4 critérios para o diagnóstico de lma 30% de blastos mielóides no. La leucemia mielógena aguda se puede presentar a cualquier edad, pero afecta generalmente a personas de más de 65 años. La leucemia mieloide aguda (lma) es una proliferación neoplásica de células inmaduras de estirpe mieloide que se produce por una alteración en el crecimiento y diferenciación de las células. Seminario online sobre la leucemia mieloide aguda, impartido por la doctora elvira mora castera y enmarcado en la semana mundial de las enfermedades.

Leucemia Mieloide Aguda - o que e, etiopatogenia ...
Leucemia Mieloide Aguda - o que e, etiopatogenia ... from static.docsity.com
Os tipos de lma são diversos, o que quer dizer que, não se trata de uma doença única, mas uma. Seminario online sobre la leucemia mieloide aguda, impartido por la doctora elvira mora castera y enmarcado en la semana mundial de las enfermedades. Por lo común, la médula ósea. Diagnóstico de leucemia mieloide aguda. En la leucemia mieloide aguda (lma), la transformación maligna y la proliferación no controlada de la leucemia promielocítica aguda es un subtipo de particular importancia, que representa del 10 al. La leucemia mieloide aguda (lma) también se conoce como leucemia mielógena aguda. Tipos de leucemia en leucemia aguda la condición progresa rápidamente a diferencia en de. Los médicos pueden comenzar a sospechar que se trata de leucemia.

Seminario online sobre la leucemia mieloide aguda, impartido por la doctora elvira mora castera y enmarcado en la semana mundial de las enfermedades.

La leucemia mieloide aguda (lma) es una enfermedad que se presenta principalmente en adultos. Viviendo con leucemia linfoblastica aguda. En el desarrollo de ésta se. Algunos médicos usan el sistema de clasificación de la organización mundial de la salud (oms) para la aml. Leucemia mieloide aguda sin maduración. La leucemia linfoblastica aguda en nuestra vida. Presentación de un caso clínico dra. Seminario online sobre la leucemia mieloide aguda, impartido por la doctora elvira mora castera y enmarcado en la semana mundial de las enfermedades. Llamar a la enfermedad aguda significa que está progresando rápidamente. La leucemia mielógena aguda se puede presentar a cualquier edad, pero afecta generalmente a personas de más de 65 años. La leucemia mieloide aguda (lma) es una proliferación neoplásica de células inmaduras de estirpe mieloide que se produce por una alteración en el crecimiento y diferenciación de las células. 1 leucemia mielóide aguda vanderson rocha, md, phd hôpital saint louis, paris, france acute 3 leucemia mielóide aguda. Leucemia mieloide aguda é um tipo de câncer nas células do sangue e na medula óssea, região em que as células do sangue são produzidas.

La leucemia mieloide aguda (lma) es una proliferación neoplásica de células inmaduras de estirpe mieloide que se produce por una alteración en el crecimiento y diferenciación de las células. Leucemia mieloide aguda é um tipo de câncer nas células do sangue e na medula óssea, região em que as células do sangue são produzidas. La leucemia mieloide aguda (lma) también se conoce como leucemia mielógena aguda, leucemia mieloblástica aguda, leucemia granulocítica aguda o leucemia no linfoblástica aguda. Los médicos pueden comenzar a sospechar que se trata de leucemia. La leucemia mielógena aguda se puede presentar a cualquier edad, pero afecta generalmente a personas de más de 65 años.

Leucemia mieloide aguda
Leucemia mieloide aguda from image.slidesharecdn.com
La leucemia mieloide aguda ocurre cuando el cuerpo fabrica demasiados glóbulos blancos inmaduros. La leucemia mieloide aguda (lma) también se conoce como leucemia mielógena aguda. Seminario online sobre la leucemia mieloide aguda, impartido por la doctora elvira mora castera y enmarcado en la semana mundial de las enfermedades. Tipos de leucemia en leucemia aguda la condición progresa rápidamente a diferencia en de. Divide a la aml en varios grupos amplios. La presencia de cambios citogenéticos t(15;17), inv(16) y t(8;21) o sarcoma mieloide permite diagnosticar la lma. Aqui você encontra tudo sobre leucemia mieloide aguda (lma): 1 leucemia mielóide aguda vanderson rocha, md, phd hôpital saint louis, paris, france acute 3 leucemia mielóide aguda.

La lma se propaga rápidamente en la sangre y en la médula ósea.

Aqui você encontra tudo sobre leucemia mieloide aguda (lma): La leucemia mieloide aguda (lma) es la neoplasia mieloide más frecuente en adultos, su incidencia se incrementa de forma importante en personas mayores de 65 años. Leucemia mieloide aguda é um tipo de câncer nas células do sangue e na medula óssea, região em que as células do sangue são produzidas. Leucemia mieloide aguda i página 11. Friedreich (1857) describió por primera vez una modalidad de leucemia que llamó aguda, y neumann (1878). Los médicos pueden comenzar a sospechar que se trata de leucemia. Generalmente, se requieren análisis de médula ósea para diagnosticar la leucemia. La leucemia mieloide aguda (lma) también se conoce como leucemia mielógena aguda, leucemia mieloblástica aguda, leucemia granulocítica aguda o leucemia no linfoblástica aguda. La leucemia mieloide aguda (lma) es una enfermedad que se presenta principalmente en adultos. Divide a la aml en varios grupos amplios. La leucemia mieloide aguda es la forma más común de leucemia en adultos. Seminario online sobre la leucemia mieloide aguda, impartido por la doctora elvira mora castera y enmarcado en la semana mundial de las enfermedades. La leucemia mieloide aguda (lma) también se conoce como leucemia mielógena aguda.

Seminario online sobre la leucemia mieloide aguda, impartido por la doctora elvira mora castera y enmarcado en la semana mundial de las enfermedades leucemia. Los médicos pueden comenzar a sospechar que se trata de leucemia.

Posting Komentar

0 Komentar